آگوست 21, 2021

تصویربرداری دیفیوژن
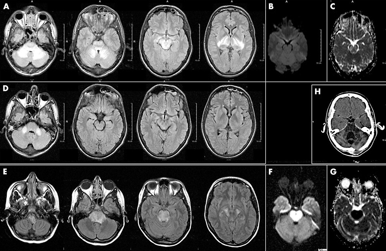
تصویربرداری دیفیوژن (DWI) نوعی تصویربرداری MR است که بر اساس اندازه گیری حرکت تصادفی براونی مولکول های آب درون یک واکسل از بافت است. به طور کلی و ساده تر ، بافت های بسیار سلولی یا آنها که تورم سلولی دارند ضرایب دیفیوژن کمتری از خود نشان می دهند.تصویربرداری دیفیوژن به ویژه در خصوصیات تومور و ایسکمی مغزی مفید است. اصطالح “تصویربرداری دیفیوژن” برای نشان دادن موارد مختلفی استفاده می شود: نقشه دیفیوژن ایزوتروپیک (آنچه بیشتر رادیولوژیست ها و پزشکان

تصویربرداری پرفیوژن
تصویربرداری پرفیوژن پرفیوژن یک عملکرد بیولوژیکی اساسی است که به انتقال اکسیژن و مواد مغذی به بافت از طریق جریان خون اشاره دارد. تصویربرداری پرفیوژن به ریز عروق حساس است و در طیف گسترده ای از کاربردهای بالینی ، از جمله طبقه بندی تومورها ، شناسایی مناطق سکته مغزی ، و توصیف سایر بیماری ها اعمال شده است. تکنیک های تصویربرداری پرفیوژن با استفاده از ماده حاجب برون زا طبقه بندی می شوند. روش های بولوس ، با تزریق ماده

تصویربرداری MRS
تصویربرداری MRS تصویربرداری MRS یک آزمایش تشخیصی غیرتهاجمی برای اندازه گیری تغییرات بیوشیمیایی مغز ، به ویژه وجود تومورها است. در حالی که تصویربرداری تشدید مغناطیسی (MRI) محل تشریحی تومور را مشخص می کند ، تصویربرداری MRS ترکیب شیمیایی بافت طبیعی مغز را با بافت تومور غیرطبیعی مقایسه می کند. این آزمایش همچنین می تواند برای تشخیص تغییرات بافتی در سکته مغزی و صرع استفاده شود. تصویربرداری MRS در همان دستگاه MRI معمولی انجام می شود. در اسکن MRI از

تصویربرداری FMRI
تصویربرداری تشدید مغناطیسی عملکردی (تصویربرداری fMRI) تغییرات جزئی در جریان خون را که با فعالیت مغز اتفاق می افتد اندازه گیری می کند. ممکن است برای بررسی آناتومی عملکردی مغز (تعیین اینکه کدام قسمت از مغز عملکردهای مهم را انجام می دهند) ، ارزیابی اثرات سکته مغزی یا راهنمایی درمان مغز استفاده شود. تصویربرداری fMRI ممکن است ناهنجاری هایی را در مغز تشخیص دهد که با سایر روش های تصویربرداری یافت نمی شود. تصویربرداری fMRI در حال تبدیل شدن به

(DTI) تصویربرداری تنسور دیفیوژن
تصویربرداری تنسور دیفیوژن (تصویربرداریDTI) یک روش تصویربرداری عصبی مبتنی بر تصویربرداری تشدید مغناطیسی است که امکان تخمین لوکال ، جهت گیری و ترکت های مغز را فراهم میکند. روش تصویربرداری DTI یک تکنیک MRI است که دیفیوژن مولکول های آب و جهت گیری آن را اندازه گیری می کند. از آنجا که دیفیوژن آب در مغز عمدتا توسط سدهای فیزیولوژیکی از جمله فیبرهای عصبی محدود می شود ، DTI به عنوان یک نشانگر غیر مستقیم برای بررسی میزان یکپارچگی ماده

آنالیز پرفیوژن
محاسبه آنالیز پرفیوژن بر اساس اندازه گیری هایی است که هنگام حرکت بولوس در سیستم خون انجام می شود. نقطه شروع عملکرد ورودی شریانی (AIF) است که قبل از حرکت بولوس عامل کنتراست از میان منطقه مورد نظر (ROI) در شریان اندازه گیری می شود. آنالیز پرفیوژن با استفاده از مدل کینتیک نیاز به ارزیابی پارامتر های تبادل ماده کنتراست زا بین خون و بافت را دارد. برای ساده سازی پارامترهای آنالیز پرفیوژن ، یک رویکرد آنالیز بصری حاوی روش

آنالیز MRS
آنالیز MRS در آنالیز MRS توالی پالس در استفاده برای آنالیز داده ها و ثبت داده ها مهم است. در حالت ایده آل ، از الگوریتم های کاملاً خودکار منحنی-اسپتکتروسکوپی برای ایجاد برآورد کمی از هر غلظت متابولیت باید استفاده شود. با این حال ، اگرچه چنین نرم افزاری وجود دارد و غالباً در مطالعات تحقیقات بالینی مورد استفاده قرار می گیرد ، اما در عمل بالینی معمول ، جایی که تفسیر بصری معمول است ، از آن کم

آنالیز FMRI
پس از طراحی پارادایم fMRI و اجرای آزمایش و جمع آوری داده ها ، قبل از اینکه دانشمندان علوم مغز و اعصاب و پزشکان بتوانند به سوالات مربوط به فعالیت های مربوط به آزمایش دست یابند ، باید مراحل مختلف آنالیز fMRI را بر روی داده های حاصل شده اعمال کرد. هدف از آنالیز مبتنی بر رایانه ، تعیین خودکار آن قسمت هایی از مغز است که به محرک هایی که به افراد ارائه می شود پاسخ می دهند. روشهای

تکنیک های آنالیز DTI
تکنیک های آنالیز DTI بسیاری از تکنیک ها و رویکردهای مختلف آنالیز DTI برای مطالعه طیف وسیعی از آسیب شناسی ها استفاده شده است و شامل آنالیز بر اساس ناحیه مدنظر ، ترکتوگرافی ، آنالیز هیستوگرام ، طبقه بندی مبتنی بر اطلس ، کمی سازی شبکه های اتصال مبتنی بر نمودار و آنالیز مبتنی بر واکسل است. تعداد کمی هر یک از این تکنیک ها نقاط قوت و محدودیت های خاص خود را دارند و هیچ تکنیکی وجود ندارد که

تصویربرداری عصبی گلیوبلاستوما
تصویربرداری عصبی گلیوبلاستوما تصویربرداری عصبی نقشی اساسی در تشخیص اولیه و نظارت بعدی بر درمان های چند حالته ارائه شده به بیماران مبتلا به گلیوبلاستوما – بدخیم ترین نوع سرطان مغز دارد. محققان توصیفی جامع از تصویربرداری عصبی بالینی پیشرفته برای گلیوبلاستوما ارائه می دهند. آنها مفاهیم اساسی و آخرین کاربردهای تصویربرداری عصبی ساختاری بالینی و همچنین آخرین نوآوری ها و تکنیک های آینده برای تصویربرداری عملکردی بیماران گلیوبلاستوما را پوشش می دهند. گلیوبلاستوما (GBM) شایعترین نئوپلاسم اولیه داخل
